来源: 徕卡生物系统
无论是患者还是病理学家,都希望组织样本的准备过程能够做到更加准确和标准化。从而获得更有效的、更简单的实验方案,避免错误的发生。
我们希望通过本课堂能够提供更加标准化的操作流程,帮助实验操作者解答疑难。
√定期更换漂片仪中的水;
×漂片仪中的水量充足,但并不能定期更换,因此水中的任何污染物都有可能随着切片转移玻片上(真菌、霉菌等)。

胃肠道浆膜面(H&E)微生物簇的染色虽然很弱,但仍能在组织、玻片以及组织外看到。这些污染物的来源很有可能就是展片引起的。
√使用玻片之前一定检查是否干净。正确的拿取玻片,可以避免在展片前鳞状细胞的污染;
×不检查玻片是否干净:只要切片能够在染色过程中粘附在玻片上即可。灰尘、微生物和其他污染物都会导致得不到一张好的切片。

A、肾脏切片被玻片上已有的黑色污染物污染了,在玻片其他地方也能看到污染物;
B、肺染色切片含有染上色的模糊部分,这有可能是组织干掉形成的。粘合剂(可能是明胶)在水浴中漂浮,粘合剂中的蛋白成分随着水蒸气的蒸发会更加集中。干燥前适当排水能够解决这个问题。
√为了避免样本之间的交叉污染,在进行下张切片展片时需去除水面之前标本的残渣;
×每一个蜡块之间未对水面进行清洁。这可能导致不同样本之间的交叉污染,这可能引起混乱,甚至误诊。


心脏肌肉被甲状腺碎片污染。原因可能是不同样本在展片过程污染引起的。
√注意漂片过程中不要摸头发或者手(鳞屑可能污染切片);
ד我们一些员工制出来的片子含有很多鳞屑,他们可能不知道这个是可以避免的”。


肾切片上部含有很多外来的鳞屑,这可能是展片过程中沉积的。它们牢牢地粘附在玻片上,随后被染上了伊红。
√来自不同蜡块的切片从来不同时展片;
×有时候来自两个或更多蜡块的切片同时展片片。这是非常危险的事情,有可能会导致样本识别错误,尤其是在切取同一类型的标本时。


来自两块不同蜡块的切片同时展片,这可能导致混乱或者样本识别错误。
√漂片仪的温度实时监控,确保漂片仪中的温度低于蜡的熔点4-5℃。切片必需展平,但是蜡不能熔解;
×切片在漂片仪上放置超过15s,蜡就会熔解。虽然这样看起来可以使整个流程加快,但有可能引起组织过度扩张和细胞受损。


这些皮肤切片上有明显的裂缝和大量的分离层,典型的过度扩张引起的。处理不当的组织很容易有这个问题。
√切片在漂片仪上平展地放置;
×切片在漂片仪上放置不平,漂片仪温度过低的话,会导致切片在捞片的时候有皱纹。


图中,展片不能消除切片过程产生的褶皱。更好的切片技术和稍微热一点的水能够帮助解决这个问题。
√切片在漂片仪中展平后,马上捞起;
×为了方便,在漂片仪中的展片时间过长,有可能引起组织因过度扩张和细胞受损(特别是对一些小的易碎组织,如淋巴组织)。


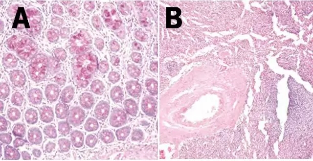
A、使用PAS染色做的肠道粘膜切片:固有膜层过膨胀(显示肠腺的过度分离),主要是因长时间在过热的漂片仪中展片。
B、因在漂片仪中过度扩张,淋巴组织有裂痕。淋巴和造血组织特别容易受损。
√用钳子和刷子去除皱褶的时候,特别小心,避免损坏组织;
×在用钳子或者刷子去除褶皱的时候,用力过度,这种过程很容易或多或少对组织产品影响。


心脏肌肉有机械损伤(孔),这是在试图移动叠在一起的切片时引起的(心脏,H&E)。
√不捞取蜡带上第一或者第二张切片;
×每条蜡带上第一或者第二张切片看起来比后续的切片更好,这是因为他们比较厚,引起这样的原因是因为刀片在刚切冷的蜡块时刀片的摩擦导致蜡块热胀冷缩引起的。


蜡带上每一张切片按照顺序编号,图中可以看到前两张切片最宽(最少挤压),但是随着蜡块温度上升减弱,切片变窄(更多挤压)。虽然切片机设置为3μm,第一、二张切片由于热胀原因可能有4-5μm。
√仔细操作,避免漂片仪中有气泡产生。放置切片进行展片前,消除一切可见的气泡;
×忽视漂片仪中的小气泡。切片中的气泡会在干片过程中消失,但是有气泡的地方经常会变形,并且很可能会在染色过程中掉片。


肝脏H&E染色切片:有一个圆形的、破损的区域,这个区域的切片看似鼓起来了。原因是切片在展片过程中混入了气泡,从而阻碍了切片平整牢固地粘附在玻片上。
√适当使用带电荷或者含有粘附剂的载玻片,避免切片翘起;
×切片可能在染色过程中脱落(特别是经历过IHC抗原修复,或者其他需要加热的方法)。这种情况下使用带电荷或者其他粘附玻片是非常重要的。
以上内容主要就组织优化中展片过程的具体步骤作以指导,并作出操作规范和建议。